ՀՀ Առողջապահության նախարար Արսեն Թորոսյանը ֆեյսբուքի իր էջում տագնապ է հնչեցնում.
Չեմ ցանկանում մեր բոլորի տոնը փչացնել, բայց ստիպված եմ տարածել այս տեղեկությունը և կրկին կոչ անել իսպառ հրաժարվել կենցաղային պայթուցիկներից։
Վերջին 2 օրերին Հայաստանի Հանրապետության բժշկական կենտրոններ դիմել են պայթուցիկներից/հրավառություններից տուժած 52 անձ, այդ թվում.
8 (15%) երեխա (7-14 տարեկան), 7 (13%) դեռահաս (15-17 տարեկան) և 37 (72%) մեծահասակ (18 տարեկան և բարձր),
49 դեպքում տուժածները ստացել են դաստակի և նախադաստակի տարբեր տեսակի վնասվածքներ։
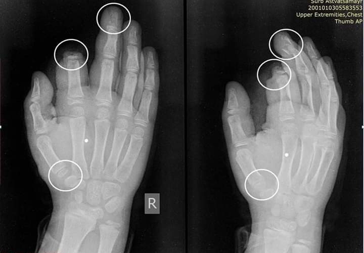
Հ.Գ. նկարում 10 ամյա երեխայի երկու մատի դիստալ ֆալանգների ջնջխման ռենտգեն նկարն է, որը տեղի է ունեցել ամանորյա գիշերը։
Հ.Հ.Գ. պայթուցիկների վաճառքի և հրավառությունների սահմանափակումների օրինագծերը արդեն դրված են շրջանառության մեջ։




0 Մեկնաբանություն